梁光强系统种植全面提升班(上颌窦内外提升+美学区域和磨牙区即刻种植+全口半口即刻负重) 4月沈阳 更多地区
时间 26.04.21 - 26.04.23
地点 沈阳
费用 3800 元/人
客服电话 刘佳 18861069440
已有547人关注 

梁光强系统种植全面提升班

(上颌窦内外提升+美学区域和磨牙区即刻种植+全口半口即刻负重)



【讲师介绍

微信图片_2025-07-14_162651_786.jpg

梁光强简介:

梁光强院长毕业于首都医科大学,1994年-2003年北京军区空军医院口腔修复科医生;2005年-2013年解放军第272医院口腔科主任;2000年开始开展种植牙专业,年种植量4000颗以上。是早期口腔种植技术推广老师之一。组织成立了“北京种植牙医联盟”,并担任联盟理事长;国际种植牙医协会(ICOI)会员;先后6次到韩国学习种植技术;

2016年9月赴匈牙利从师Urban教授学习垂直补骨技术;

发明了:针对植牙区域牙槽骨厚度不足的情况而进行的一种高效的成功率极高的种植方法-梁氏植牙法;

经过丰富的临床经验去改良手术工具,致力提供最好的产品和技术;2016年研发并推出口腔种植改良式水压外提工具盒;2017年研发并推出口腔种植改良式敲击内提工具盒;2019年设计改良大直径愈合基台,针对临床后牙即刻种植以及恢复正常冠颈比提供了极大便利;2020年发明并申请专利植体周边去骨钻和刃状牙槽脊修整钻。目前为止更获得19项国家专利,大多专利已经转化为产品工具大范围应用于全国各地口腔临床医疗机构。以安全为前提条件下,将技术最简化,器械最便利化,达到临床最优化。


【课程简介】

本课程由一线种植专家,精心设计,聚焦微创改良技术与标准化操作流程,

通过“理论精讲+模型实操+病例复盘”三位一体教学模式,

帮助医生在3天内系统掌握复杂种植病例的核心解决方案,实现“学完即用,临床无忧”!


【适合对象】

具备基础种植经验,希望提升复杂病例处理能力的口腔医师


【课程内容】

第一天:

一、颌窦的解剖结构剖析

1、上颌窦头颅解剖图片讲解;

2、上颌窦结构X光片解析。

二、上颌窦内、外提的适应症

三、上颌窦内提升:

1、上颌窦双皮质固位(不植骨)

(1)上颌窦水压内提升

(2)不植骨的上颌窦改良式敲击内提升(3mm-7mm骨量)

2、上颌窦改良式外提升:

(1)经牙槽嵴顶外提升

(2)经牙槽嵴顶和颊侧联合外提升

【实操安排】

水压内提升

经牙槽嵴顶和颊侧联合外提升



第二天:即刻种植

一、前牙美学区域即拔即种:

1、唇侧骨板完整情况下即拔即种的要点及操作步骤;

2、唇侧骨板缺失的情况下即拔即种的要点及操作步骤;

3、临时固定义齿的制作要点及操作步骤;

4、软组织的处理方案;

5、根盾术(保留唇侧根片)适应症、操作要点及操作步骤。

二、后牙即刻种植的适应症,定位要点,扩孔技巧,植体选择,愈合基台选择,如何将复杂的即刻种植简单化



【实操安排】

 1、上前牙拔牙后即刻植入

2、安装临时基台

3、制作临时树脂牙



第三天:全口即刻种植即刻负重

一、全口种植修复的方案,不同类型的设计方案;

二、半口/全口种植体加覆盖义齿修复的适应症,手术流程,二期修复流程;

三、上半口即刻负重设计方案;

1、I、II区即刻负重加III区上颌窦提升,二期上半口马泷桥修复;

2、大上颌窦情况下的上半口即刻负重:

1)穿翼板种植的适应症,操作要点,操作步骤及并发症的规避;

2)穿窦种植的适应症及操作要点。

四、下半口即刻负重的设计方案:

1、ALL ON-4适应症要点及操作步骤;

2、为消除远中悬臂而进行的后磨牙区域跨越神经管种植的适应症,操作要点及操作步骤。

五、半口/全口即刻负重取模,咬合记录的要点及操作步骤。

 

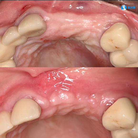
【病例展示】


病例展示一

微信图片_2025-07-14_175225_999.jpg

微信图片_2025-07-14_175240_960.jpg

微信图片_2025-07-14_175826_280.jpg

微信图片_2025-07-14_180149_762.jpg

微信图片_2025-07-15_102943_896.jpg


病例展示二

微信图片_2025-07-15_091825_179.jpg

微信图片_2025-07-15_092131_722.jpg


病例展示三

微信图片_2025-07-15_094530_999.jpg

微信图片_2025-07-15_094907_300.jpg

微信图片_2025-07-15_104112_442.jpg

病例展示四

微信图片_2025-07-15_110535_118.jpg

微信图片_2025-07-15_110936_281.jpg

微信图片_2025-07-14_180325_395.png

病例展示五

1752547315_813710.jpg

【收费标准】此价格为税前价,开票需另外收3%的税点,开具正规“牙科咨询费”发票,合法很重要!

  收费价格:3800元

  KQ88老学员价格:3400元


培训要求:

学习需知:

1.开课当天8:30-8:45报到(以培训负责人通知为准)

2.安排中午便餐,其它食宿自理

3.学习中允许拍照,禁止录像、录音

4.培训中请将手机调至静音或振动状态,禁止大声喧哗

5.推荐附近酒店,学员自行选择,订机票、火车票时需提前与培训负责人确认开班地址及时间

6.禁止正式学员携带其他人进入会场,复训学员可以旁观操作演示,没有操作安排

7.KQ88主办课程均可无次数限制复训学习,需提前支付复训费确认,每期均有人数限制

8.因个人原因无法参加本次培训班,开课前7日内不可退费,可协商转入下一期

9.学员开课前三天前需缴全培训费,课程开始后不得以任何理由退改课程


联系客服:

刘佳  18861069440

刘佳  18861069440

联系客服请扫二维码